PHTVL / PHPV steht für Persistierende Hyperplastische Tunica Vasculosa Lentis / Persistierendes Hyperplastisches Primäres Vitreum.
Im Gegensatz zu den meisten anderen Hunderassen sind diese Augenfehlbildungen beim Dobermann erblich, vermutlich unvollständig dominant.
Bei PHTVL/PHPV Grad 1 oder in Zweifelsfällen können Bindegewebsreste des embryonalen Gefäßnetzes auf der Rückseite der Linse zurückbleiben. Diese Bindegewebsreste verändern sich nach der Geburt nicht weiter, sodass Ihr Dobermann glücklicherweise weiterhin gut sehen kann.
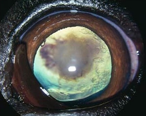
Schwerere Formen, Grad 2-6, treten immer beidseitig auf und führen zu einer Verminderung des Sehvermögens. Dabei kann sich die Linse kegelförmig verändern oder es können noch schwerwiegendere Anomalien auftreten, wie z. B. Blut- oder Pigmentansammlungen in der Linse.
PHTVL/PHPV bei einem Dobermann, Foto aufgenommen von Dr. F.C. Stades
Bei schweren Formen tritt auch eine Katarakt (Linsentrübung/Grauer Star) auf. Manchmal sind die Welpen bereits blind, wenn sie zum ersten Mal die Augen öffnen. In anderen Fällen verschlimmert sich die Katarakt im Laufe der Jahre langsam und kann so ebenfalls zu einer Verschlechterung des Sehvermögens führen.
Im Alter von 6 Wochen können die Augen eines Welpen bereits untersucht werden. Diese Augenuntersuchung kann nur von einem Tierarzt mit zusätzlichen Kenntnissen und Erfahrungen in der Augenheilkunde durchgeführt werden, in der Regel von einem tierärztlichen Augenspezialisten. Bei 6 Wochen alte Welpen sind die Augen jedoch noch klein, sodass geringfügige Augenfehlbildungen manchmal übersehen werden können. Daher ist eine Untersuchung in diesem Alter nur sinnvoll, um zu verhindern, dass Welpen mit schweren Augenfehlbildungen verkauft werden, ohne dass der neue Besitzer vorab über das Augenproblem informiert werden kann. In der Regel wird die Augenuntersuchung erst durchgeführt, wenn der Dobermann für die Zucht verwendet wird oder weil die Untersuchung bei bestimmten Körungen vorgeschrieben ist.
Durch den Verzicht auf die Verwendung von Betroffenen (Grad 2-6), Wurfgeschwistern und deren Elterntieren für die Zucht ist das Auftreten von PHTVL / PHPV beim Dobermann glücklicherweise stark zurückgegangen.
Tierärztlichen Augenspezialisten haben sich in Deutschland vereinigt unter DOK und international unter ECVO.
DOK steht für Dortmunder Kreis, Gesellschaft für Diagnostik genetisch bedingter Augenerkrankungen bei Tieren e.V.
ECVO steht für European College of Veterinarian Ophthalmologists.
Nicht jeder Tierarzt darf eine DOK-/ECVO-Augenuntersuchung durchführen.
Eine Liste der Tierärzte in Deutschland, die zur Durchführung der DOK-/ECVO-Untersuchung berechtigt sind, finden Sie hier.
© 2025 DCD